Ένθετα - Επένθετα

Τα ένθετα και τα επένθετα είναι αποκαταστάσεις που χρησιμοποιούμε για να διορθώσουμε βλάβες στα πίσω δόντια που έχουν προκληθεί από εκτεταμένη τερηδόνα, ρωγμές ή κατάγματα. Στις περιπτώσεις που επιλέγουμε ένθετα ή επένθετα, οι φθορές στη δομή του δοντιού είναι αρκετά μεγάλες για να διορθωθούν με ένα απλό σφράγισμα αλλά όχι τόσο μεγάλες που να απαιτούν χρήση στεφάνης. Επίσης με τα ένθετα και τα επένθετα μπορούμε να αντικαταστήσουμε παλιά μεγάλα σφραγίσματα αμαλγάματος. Με αυτή τη λύση έχουμε όλα τα οφέλη του σφραγίσματος αλλά χρειάζεται να αφαιρέσουμε πολύ λιγότερο υγιή οδοντικό ιστό σε σχέση με τις στεφάνες.

Τα ένθετα μοιάζουν με τα σφραγίσματα και καλύπτουν το κέντρο της μασητικής επιφάνειας του δοντιού. Τα επένθετα καλύπτουν μεγαλύτερη επιφάνεια, εκτείνονται και πέρα από τις κορυφές των πίσω δοντιών, ενώ μπορούν να αντικαταστήσουν και ολόκληρη τη μασητική επιφάνεια. Οι αποκαταστάσεις αυτές – σε αντίθεση με τα κοινά σφραγίσματα – κατασκευάζονται σε εργαστήριο μετά τη λήψη αποτυπωμάτων ώστε να έχουμε ακριβή εφαρμογή. Μόλις ετοιμαστούν τα τοποθετούμε σταθερά στο δόντι με ειδικό συγκολλητικό υλικό.

Τα ένθετα και τα επένθετα μπορεί να είναι από σύνθετη ρητίνη, αλλά και εδώ το υλικό που ταιριάζει καλύτερα με τη φυσική εμφάνιση του δοντιού είναι το ολοκεραμικό από πορσελάνη. Η πορσελάνη έχει και το επιπρόσθετο πλεονέκτημα ότι δεν απορροφά χρωστικές και έτσι δεν αλλοιώνεται το χρώμα της με την πάροδο του χρόνου.

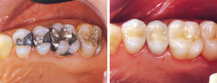
Αντικατάσταση παλαιών εμφράξεων αμαλγάματος με αισθητικές σύνθετων ρητινών.

Συνοπτικά, τα πλεονεκτήματα των ενθέτων και των επενθέτων είναι τα εξής:

  • Έχουν εξαιρετική αντοχή και πολύ μεγαλύτερη διάρκεια ζωής από τα κοινά σφραγίσματα.
  • Ενισχύουν και ενδυναμώνουν το δόντι, προστατεύοντάς το από κατάγματα.
  • Δεν χρειάζεται να αφαιρέσουμε τόση οδοντική ουσία όση στις γέφυρες.
  • Προσφέρουν καλύτερα αισθητικά αποτελέσματα από τα σφραγίσματα.

Παρακάτω ακολουθούν εικόνες με την αντικατάσταση παλαιών εμφράξεων αμαλγάματος με ένθετα και επένθετα: 

Κλείστε Ραντεβού Online

Η διαδικασία κράτησης είναι γρήγορη και απλή – χρειάζονται μόνο λίγα λεπτά για να κλείσετε το ραντεβού σας online.