Seals-Occlusions

Fillings are the most common dental work but it plays a very important role in maintaining our oral health. They are mainly used to restore part of dental tissue that was removed due to caries but also in cases of teeth with cracks or fractures. There are two types of fillings depending on the construction material: metal amalgam fillings that are dark in color and resin fillings (our familiar white fillings) that can be adapted to the color of our natural teeth.
When a tooth is affected by caries, we must remove the carious tissue of enamel and dentin and clean the cavity that has formed from bacteria. After we have prepared the space properly, we place the restorative material.
Resin fillings are flexible material that is bonded in layers to the dental cavity, so we can shape it in such a way that it completely restores the tooth structure. At the end, the resin is polymerized with a special light to harden, while we polish and polish the seal. It is also important to check whether the restoration creates occlusal problems.
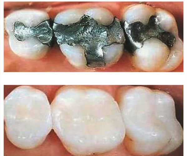
Old, black amalgam fillings are very durable and last a long time, but they also create aesthetic problems. If you already have such fillings you can replace them with resin. Its color offers a completely natural appearance and no one will understand that you have a sealed tooth.

The advantages of resin fillings are as follows::

• High aesthetics
• Healthy tooth substance does not need to be removed to properly place it
• They can be easily repaired in case of minor breakage
• With the appropriate configuration, they faithfully imitate the morphology of the tooth
• Thanks to their material, they integrate into the tooth structure and offer more

Replacement of old amalgam fillings with esthetic composite resins.

Book an Appointment Online

The booking process is quick and simple – it only takes a few minutes to schedule your appointment online.