ΟΡΘΟΔΟΝΤΙΚΗ – INVISALIGN (Διάφανοι Νάρθηκες)
Η Ορθοδοντική θεραπεία άπτεται ενός ευρέως φάσματος προβλημάτων του στοματογναθικού μας συστήματος .Στο ιατρείο μας παρέχονται όλων των ειδών ορθοδοντικές θεραπείες από από διακεκριμένο ειδικό Ορθοδοντικό. Η τεχνική που θα ακολουθηθεί θα εξαρτηθεί από το πρόβλημα που υπάρχει και από την ηλικία του ασθενούς. Οι πιο συνηθισμένοι μηχανισμοί ορθοδοντικής θεραπείας είναι τα:
- μεταλλικά σιδεράκια (brackets)
- τα διάφανα σιδεράκια
- η μέθοδος διάφανων ναρθηκών Invisalign
- τα γλωσσικά σιδεράκια
- ο διευρυντήρας
- τα μασκάκια τύπου Hawley
- οι λειτουργικές συσκευές τάξης ΙΙ
- οι συσκευές τάξης ΙΙΙ – μάσκα τρίτης τάξης
- ο συνδυασμός ορθοδοντικής και γναθοχειρουργικής
Τα μεταλλικά σιδεράκια (metal brackets) σε μεταλλικό – ασημί χρώμα τοποθετούνται στα δόντια τόσο της άνω όσο και της κάτω γνάθου, συνήθως αφού έχουν φύγει τα παιδικά δόντια και έχουν σαν στόχο να ισιώσουν τα μόνιμα δόντια, να τα φέρουν στα σωστά ύψη, όπως και να βελτιώσουν το κλείσιμο του στόματος. Στη σύγχρονη ορθοδοντική τα σιδεράκια αυτά είναι αυτόδετα, δηλαδή έχουν ένα εσωτερικό μηχανισμό που ασφαλίζει το ορθοδοντικό σύρμα μέσα στο σιδεράκι για μεγαλύτερη άνεση, υγιεινή αλλά και λίγο ταχύτερα αποτελέσματα. Επίσης και οι δακτύλιοι στα πίσω δόντια πλέον αντικαθίστανται από τα σιδεράκια για καλύτερη στοματική υγιεινή αλλά και μεγαλύτερη άνεση.
Τα διάφανα σιδεράκια (ceramic brackets) σε διακριτικό – σχεδόν διάφανο χρώμα χρησιμοποιούνται ακριβώς με τον ίδιο τρόπο όπως τα μεταλλικά με τη διαφορά ότι το υλικό κατασκευής τους είναι η πορσελάνη που τους επιτρέπει να είναι πιο διακριτικά και έτσι συχνά να ανταποκρίνονται στις προσδοκίες των ενηλίκων αλλά και κάποιων νεαρότερων ασθενών που τα προτιμούν. Και αυτά(όπως και τα μεταλλικά) στη σύγχρονη ορθοδοντική είναι αυτόδετα. Τα διάφανα σιδεράκια σε σχέση με τα μεταλλικά έχουν ελαφρώς αυξημένο κόστος.
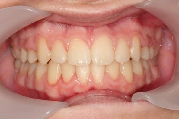
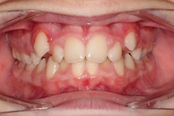
Παρακάτω παραθέτουμε εικόνες περιστατικού πριν και μετά την Ορθοδοντική θεραπεία.
Κλείστε Ραντεβού Online
Η διαδικασία κράτησης είναι γρήγορη και απλή – χρειάζονται μόνο λίγα λεπτά για να κλείσετε το ραντεβού σας online.
